Alex Guarnaschelli's weight has been a topic of discussion in the media and among fans. As a celebrity chef, her weight is often scrutinized and comm...
Although the term "pill lee yawn hair" does not appear to have any significant meaning or usage in the English language, I can provide some general inform...
Doug Ghim's parents, Jeff and Sandra Ghim, are Korean immigrants who met while working at a church in Chicago. They have been married for over 20 yea...
Cayden Wyatt Costner is the son of Kevin Costner and Christine Baumgartner. Unfortunately, there is limited publicly available information about Cayden Wy...
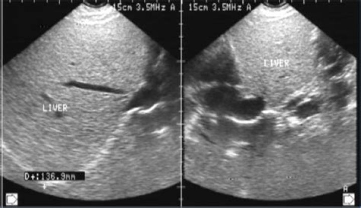
Altered parenchymal echotexture refers to changes in the normal appearance of an organ or tissue on an ultrasound examination, often indicating underlying...
Maria Shriver Dating refers to the romantic relationships of Maria Shriver, an American journalist, author, and former First Lady of California, since her...
Apple Martin's college major is English and Comparative Literature. She is the daughter of Gwyneth Paltrow and Chris Martin, and she is currently a s...